Sie befinden sich hier: Praxisbeispiele » Das Kiefergelenk - Blackbox oder Glaskugel?

PraxisBeispiele

Das Kiefergelenk -
Blackbox oder Glaskugel?


Fallvorstellung

 

Ich werde immer wieder gefragt, kannst du nicht mal was schreiben, wie man aus einer Modellanalyse die habituelle Stellung der beiden Kondylen ableiten kann. Der Wunsch ist, das Kiefergelenk besser verstehen zu können und diese Informationen dann bei der Anwendung einer Kiefergelenksanalyse und der anschließenden Therapie mit einfließen zu lassen. Dieser therafunction Beitrag soll Antworten und Lösungen auf diese Fragen geben.

Ausgangssituation

 

Patient männlich, 27 Jahre jung, hat ein initiales Knacken bei der Mundöffnung im linken Kiefergelenk. Die Mundöffnung ist asymmetrisch nach rechts verschoben. Zudem stimmt die Mittellinie der oberen und unteren ersten Frontzähne in habitueller Bisslage nicht überein.

 

Die Vermutung liegt nahe, dass der linke Kondylus eine zu anteriore Position aufweist und dadurch der Unterkiefer nach rechts verschoben ist. Damit scheint die habituelle Bisslage nicht physiologisch, bzw. zentrisch zu sein.

 

Herausforderung

 

Wie kann die physiologische, zentrische Bisslage ermittelt werden? Besteht eine Kausalität zwischen der habituellen Bisslage und den Erkenntnissen der Funktionsanalyse. Welcher Lösungsweg kann dem Patienten aufgezeigt werden.


Lösungsweg

 

Für die klinische Funktionsanalyse wurde das theratecc Bisskonzept gewählt. Dieses Konzept besteht aus der therafaceline® Gesichtsbogenregistrierung und dem Bissanalysetool Centric Guide® 3D. Die genaue Anwendung der beiden Systeme wurde bereits in anderen therafunction Beiträgen ausführlich beschrieben und soll daher kein Gegenstand dieses Beitrages sein.

 

Zum nächsten Termin wurden zwei analoge Abformungen und die Gesichtsbogenregistrierung durchgeführt. Da mit dem therafaceline® Gesichtsbogen die Camper'sche Ebene, die Bipupillarlinie und die Bisshöhe in einer Anwendung zu erfasst werden, können die Modelle wirklich schädelorientiert in den Artikulator eingestellt werden. Damit ist gemeint, dass das Oberkiefermodell endlich exakt gerade und mittig, wirklich eins zu eins im Artikulator steht. Das Unterkiefermodell wird in habitueller Bisslage zum Oberkiefer in den Artikulator eingestellt.

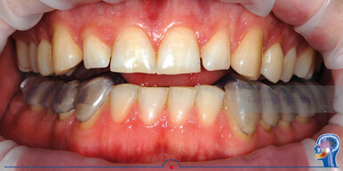
Für die Bissanalyse mit dem Centric Guide® 3D System werden wie bei einer klassischen Stützstiftregistrierung Schablonen gefertigt. Diese dienen als Trägermedium für die Sensorik.

 

Zum nächsten Termin erfolgte die digitale Funktionsanalyse mit dem Centric Guide® 3D System. Dabei bewegt der Patient den Unterkiefer abwechselnd nach vorn und hinten und nach links und rechts. Alle Unterkieferbewegungen werden mit insgesamt vier Sensoren erfasst und in der Software in Echtzeit visualisiert. Die Funktionsweise der Sensorik und der Software können Sie in dieser Animation nachvollziehen. Neben den Bewegungen werden auch die sagittale Gelenkbahnneigung und die Bennett-Winkel für den rechten und linken Gelenkbereich erfasst. Die zentrische Kondylenposition kann so eindeutig visualisiert und sofort in ein Bissregistrat überführt werden.

 

Mit diesem zentrischen Bissregistrat wird das Unterkiefermodell neu in den Artikulator eingestellt. Der Artikulator selbst kann mit den individuellen Parametern der Gelenkbahn und dem Bennett-Winkel für den Patienten programmiert werden. Im Anschluss erfolgt die Modellanalyse und Auswertung der Bisslage in einem Vollwertartikulator mit einstellbarer Retrusionsbewegung. Dazu werden an den beiden Modellen im Bereich der Frontzähne und der ersten Molaren senkrechte Markierungen angebracht.

Zuerst wird die statische Okklusionsbeziehung mit roter Okklusionsfolie geprüft. Dabei werden die Zahnkontakte sichtbar, die der Patient hätte, wenn sein Unterkiefer in zentrischer Relation stehen würde. In unserem Fall besteht nur im ersten und vierten Quadranten Zahnkontakt. Im zweiten und dritten Quadranten besteht eine komplette Nonokklusion. Da diese im Mund in habitueller Bisslage nicht sichtbar ist, zeigt sich hier ein weiterer Vorteil dieses Konzeptes. Die therapeutische, zentrische Position des Unterkiefers kann dem Patienten bereits im Artikulator visualisiert werden. Damit wird das Verständnis für eine notwenige Schienentherapie deutlich verbessert.

 

Wenn man nun das Zentrikschloss des Artikulators öffnet, kann der Unterkiefer aus der zentrischen Position wieder in die habituelle Position bewegt werden. Dabei wird durch die Markierungen der Unterschied zwischen der zentrischen Bisslage und der habituellen Bisslage deutlich. In unserem Fall ist der Unterkiefer in habitueller Position nach rechts verschoben. Das bedeutet, der linke Kondylus steht in einer anterioren Position. Dadurch wird der funktionelle Gelenkraum für den linken Diskus eingeschränkt. Das erklärt auch das Knacken bei der Mundöffnung.


Zudem kann die habituelle Kondylenposition auch an den beiden Gelenkboxen des Artikulators nachvollzogen werden. Hier wird deutlich, dass in unserem Fall der linke Kondylus in habitueller Position 2 mm zu anterior steht. Des Weiteren kann man als Mediziner die bestehende Kompression im linken Kiefergelenk nachvollziehen. Denn wenn der Patient in zentrischer Relation im zweiten und dritten Quadranten eine Nonokklusion hat und in der habituellen Bisslage aber vollständiger Zahnkontakt besteht, wird deutlich, dass der Unterkiefer in habitueller Position durch die Kaumuskulatur in Kontakt gebracht oder besser gesagt „gezogen“ wird. Die Nonokklusion zwischen den Zahnreihen entspricht der Kompression im linken Kiefergelenk. Der linke Kondylus steht also nicht nur zu anterior, er wird auch noch in dieser Position komprimiert.

Damit ist die Kausalität zwischen der klinischen Funktionsanalyse, bei der das Knacken im linken Kiefergelenk und die asymmetrische Mundöffnung nach rechts dokumentiert wurde, mit den Ergebnissen der digitalen Bissanalyse hergestellt. Das Centric Guide® Registrierungsprotokoll ist eine weitere Datenbasis, die in die Kausalitätsprüfung mit einbezogen werden kann. Denn in dem Registrierungsprotokoll werden alle Bewegungen in verschiedenen Diagrammen dargestellt. Die Situation des Patienten wird dadurch für alle Beteiligten nachvollziehbar. Das ist aus meiner Sicht ein wesentlicher Faktor für alle weiteren Therapieschritte. Es braucht das Verständnis, welche Auswirkungen eine falsche Bisslage, bzw. unphysiologische Kondylenposition für den Patienten hat. Eine Folge sind die starken Abrasionen im Frontzahnbereich. Auch diese sind durch die anteriore Kondylenposition nachvollziehbar. Zudem ist die Mittellinienverschiebung, welche in der habituellen Ausgangssituation bestand, in der zentrischen Position beseitigt.

Durch die Abrasionen ist die Okklusionsebene des Patienten nicht mehr optimal bzw. physiologisch. Der therafaceline® Ebenentisch visualisiert im Artikulator immer die ideale Okklusionsebene bestehend aus Camper'scher Ebene und Bipupillarlinie.

 

Bei der Überprüfung der Okklusionsebene wird deutlich, dass die oberen Frontzähne durch die Abrasionen bereits um ca. 2,5 mm reduziert wurden. Dieser Höhenverlust muss bei einer späteren Therapie wieder aufgebaut werden. Denn auch die vertikale Dimension hat entscheidenden Einfluss auf die physiologische Kondylenposition. Aus diesem Grund wurde dem Patienten als erster Therapieschritt eine Aufbissschiene für den Unterkiefer gefertigt.

Hier zeigt sich ein weiterer wesentlicher Vorteil des theratecc Bisskonzeptes. Denn alle erfassten Parameter können nun für die Therapieschiene genutzt werden. Die Schiene wird in der zentrischen Relation des Patienten gefertigt. Die Parameter der Gelenkbahnneigung, der Bennett-Winkel und der Bisshöhe können im analogen und digitalen Workflow in die Schienenfertigung mit einfließen und gewährleisten den gewünschten Therapieerfolg.

 

Eine Centric Guide® Therapieschiene kann bereits im Vollwertartikulator perfekt auf Ihre Funktion überprüft und final angepasst werden. Dadurch braucht es keine weiteren Einschleifmaßnahmen an der Schiene im Mund. Die Schiene hat alle Parameter, damit der Unterkiefer wieder in die physiologische Kondylenposition gelangt. Zudem können weitere Abrasionen der Zähne gezielt vermieden werden.

 

Mit dem theratecc Bisskonzept wird aus der Blackbox Kiefergelenk eine Glaskugel. In dieser Glaskugel können Sie die unphysiologische habituelle Bisslage analysieren und die physiologische, zentrische Bisslage bestimmen. Diese können Sie dann für eine individuelle Therapie für Ihre Patienten nutzen. Die Centric Guide® Schiene ist eine 24 Stundenaufbissschiene, sie sollte also Tag und Nacht außer zu den Mahlzeiten für mindestens sechs Monate getragen werden. Danach kann die zentrische Bisslage dauerhaft durch prothetische Lösungen umgesetzt werden. Aber dies ist schon wieder ein anderes Thema für einen anderen spannenden therafunction Beitrag.


An dieser Stelle möchte ich mich ganz herzlich für die vielen positiven Feedbacks zu unserem neuen Leseformat therafunction bedanken. Es freut mich, dass Ihnen dieses Leseformat gefällt. Auch im nächsten Jahr wird es wieder neue Fachbeiträge bei therafunction geben.

 

In diesem Sinne wünsche ich Ihnen ein besinnliches Weihnachtsfest und alles Gute für das neue Jahr 2025.

Kommentare & Rezensionen

Ihre Meinung ist gefragt!

 

Haben Sie Gedanken oder Fragen zu diesem Fall? Teilen Sie Ihre eigenen Erfahrungen mit uns. 
Wir freuen uns auf Ihren Beitrag und den fachlichen Austausch!

Bleiben Sie auf dem Laufenden und vernetzen Sie sich mit uns!



X

Diese Seite verwendet Cookies

Wir nutzen Cookies auf unserer Website. Einige sind notwendig, während andere uns helfen, diese Website und Ihre Erfahrung zu verbessern.